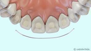
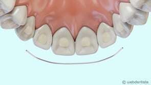
Fil de contention

video-play-icon

Articles similaires

Derniers articles

Maxillaire : all-on-4

Maxillaire : all-on-4

20 Nov 2024
Expansion palatine - activation du disjoncteur

Expansion palatine - activation du disjoncteur

20 Nov 2024
Extraction en orthodontie et réhabilitation par implant

Extraction en orthodontie et réhabilitation par implant

20 Nov 2024

Catégories

Création par Webdentiste

Connexion