Nouveau patient
Téléconsultation
Nouveaux patients :
Vous souhaitez avoir un avis concernant une possibilité de traitement orthodontique ? Nous allons pouvoir vous répondre par TÉLÉCONSULTATION, à partir de photos de vos dents ou de celles de votre enfant. Il vous suffit de remplir le formulaire ci-dessous.
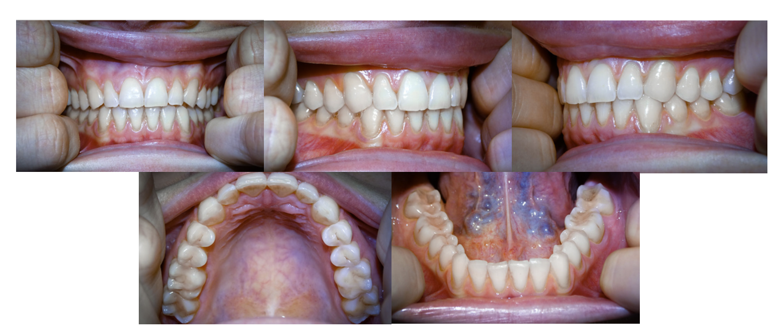
Quelques conseils avant de commencer :
Pour voir un exemple de la qualité de photo qu'il faut obtenir, cliquez ici.
Pour débuter votre téléconsultation (smartphone en main et patient disponible une dizaine de minutes), cliquez ici.
À bientôt !
